NOSE - Epistaxis
Bleeding from Littel`s area
Compression of the nasal alae
Chemical cautery
Bipolar cautery
Merocel nasal pack - with airway tube
Posterior nasal pack
Epistaxis nasal balloons with integral airway
Posterior nasal pack with foley`s catheter
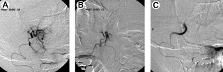
Arterial embolisation
Endoscopic arterial ligation






















